česky / english

2nd Department of Internal Medicine-Gastroenterology, Charles University Faculty of Medicine and University Hospital Hradec Králové

 
Search   Skip Navigation LinksAtlas of endoscopy

Atlas > Histopathology
Angiodysplazia

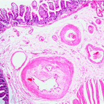
Intestinal wall (jejunum)

Intestinal wall (jejunum)

Intestinal wall (jejunum) with submucosal aretriovenous haemangioma.

Jejunum

Jejunum

Submucosal aretriovenous haemangioma.

Jejunum

Jejunum

Submucosal aretriovenous haemangioma.

Surgical specimen of resected jejunum

Surgical specimen of resected jejunum

The arrows shows the AV haemangiomatosis  (creating a polypoid tumours).

Back
e-mail: info@kcvl.cz                            Správce obsahu: MUDr.Ilja Tachecí                                Zpracování a hosting: MultiMedia SoftWare