česky
/
english
2
nd
Department of Internal Medicine-Gastroenterology, Charles University Faculty of Medicine and University Hospital Hradec Králové
Search
Atlas of endoscopy
Actions / News
Home page
History
Endoscopy
Rheumatology
Department
Contacts
Atlas of endoscopy
Education and science
Links
Write us
Atlas
>
Histopathology
Carcinoid of ileum
Carcinoid of ileum
Relatively sharply circumscribed submucous tumour.
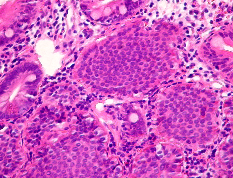
Carcinoid of ileum
Alveolar arrangement of the tumorous cells.
Surgical specimen of resected ileal tumours
Capsule Endoscopy > Tumors > Carcinoid
Enteroscopy > Intra-operative Enteroscopy > Small bowel carcinoid
Back
e-mail:
info@kcvl.cz
Správce obsahu:
MUDr.Ilja Tachecí
Zpracování a hosting:
MultiMedia SoftWare